
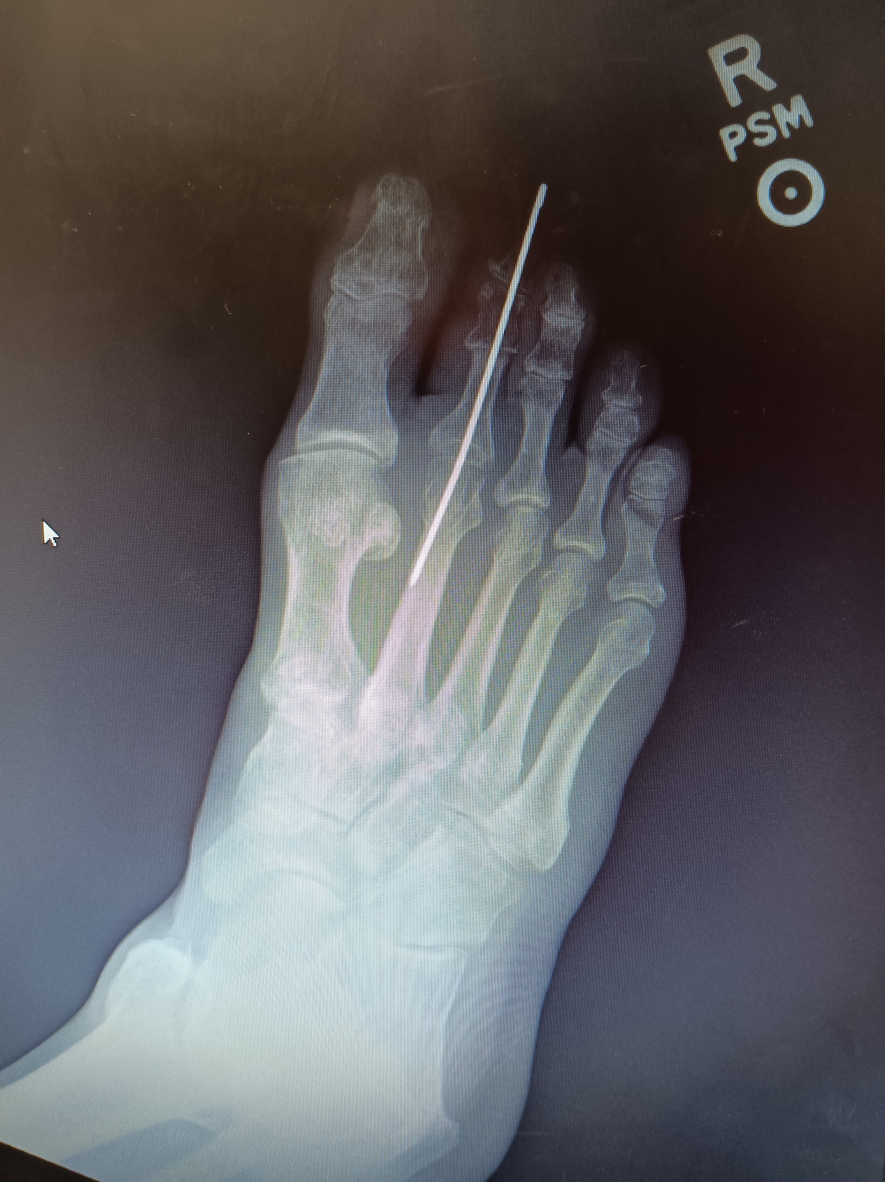
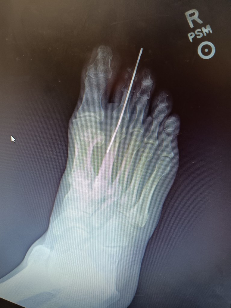
For about a year I’ve been developing another hammer-toe on the next-to-largest toe of my right foot. Hammer-toe is a disorder of the toe joints causing the joint to knuckle up in a close to 90-degree bend, causing pain when walking.
The causes of the condition include jamming the toes, badly fitting footwear, arthritis, genetics and other unknown causes. In my case I chose surgery because my foot arthritis and neuropathy are bad enough without suffering more pain from a gnarley toe (medical term).


From Wikipedia: ‘a deformity of the proximal interphalangeal joint of the second, third, or fourth toe causing it to be permanently bent, resembling a hammer’
‘Hammer toe’ is a joint dislocation that can only be corrected, in its ‘frozen’ state, by surgery of the affected toes, ligaments and muscles. The surgeon removes bone so the toes can lie flat again and pins are inserted to make them heal that way. The pins will be removed later.’

This my second hammer-toe surgery, having two toes successfully surgically straightened in early 2016. I wish I’d read my own blog post because I didn’t remember so much pain, a common human propensity allowing humans to produce more than one child.

Kaiser Surgery got me an early procedure date so I didn’t have much time for dread, with the same fine surgeon, Dr Gaggero. As in my previous surgery, the procedure itself was largely painless, with long-term IV pain meds suppressing it until I got home.
But after about eight hours it was Katie-bar-the-door and I was happy to start taking the prescribed Norco and Ibuprofen to lessen the pain. Which for me is problematic because of the nausea the drugs can cause me. So I broke the pills and took half, and then quit them entirely after 4-5 days when the pain receded.

There is not much to say about being confined to home arrest for six weeks. Except it’s mondo boring to miss out on walking and biking the creek and the bike trail during the best Great Valley weather of the year.
I coped with my usual hermit methods: bass guitar, commenting on bass social media [nice ax!], cooking, reefer, geology study, YouTube videos, fapping, dozing, TV sports when on (rare), sunbathing- by clumping down my deadly back steps into my back yard, novels, nonfiction reading, blogging. No walking, foot mostly raised at first. I should have done upper body weights and PT but I didn’t, gaining 5 pounds.

On Halloween my sister took me in for x-rays and pin removal- thanks sis! Surprisingly, the doctor uses a common pair of slip-joint pliers to quickly twist and jerk out the pin with virtually no pain. That was a happy day since it’s deeply weird to clump around with a steel pin in the toe.

High tech medical pin removal tool (replica).
So thanks to the Kaiser people. When I’m fully healed I expect less walking pain in my right foot. And thanks to my family for driving me, fetching me food and taking me shopping.
Unless noted, all text and images by todgermanica.com.