For years my ‘hammer toes‘ kept me wearing sandals instead of shoes. Rubbing on the shoe top and the toes diving into the pavement gave me shooting pains and the knuckle joint was always abraded. I could walk maybe a mile.

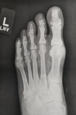
Hammer Toe
Some digits don’t show on x-rays here since they are so stacked up.

After surgery there were weeks of clomping around the house in ‘the boot’ with pins deeply into my foot to encourage straight, flat toe healing.

At first pain and nausea, then a sedimentary time spent bird and airplane spotting, watching the big ass teevee, blogging and reading blogs, novels and geology, pajamas, cabin fever, bored pot puffing.

I was happy to get the stitches out and even more so the pins, but I have a long way to go. I’m taking physical therapy to stretch and strengthen my calf and I’m teaching myself to walk in some new fashion on two toes with no joints. New shoes and boots, per the doctor both padded and supportive, help a lot if I don’t over-do it.

New Balance 609 in 11.5 4E-Famous Footwear $59.95

Response Gear 6″ Delivery Wide in 12EE, $27.99 at Big 5
Now it’s mostly a question of yet more time and more PT and walking every day; fine with me since I don’t have shooting toe pains or blisters! Glorious to walk even a block to go shopping, fun to shower again and drive the car, you miss the little things when you can’t walk. Thanks Dr. Gaggaro and the fine Kaiser Permanente staff.

Nearly 11 Weeks Post Surgery
This was the goal.

Unless noted,text/images by todgermanica, noncommercial use free with attribution. Ad clicks pay only WordPress-not me.